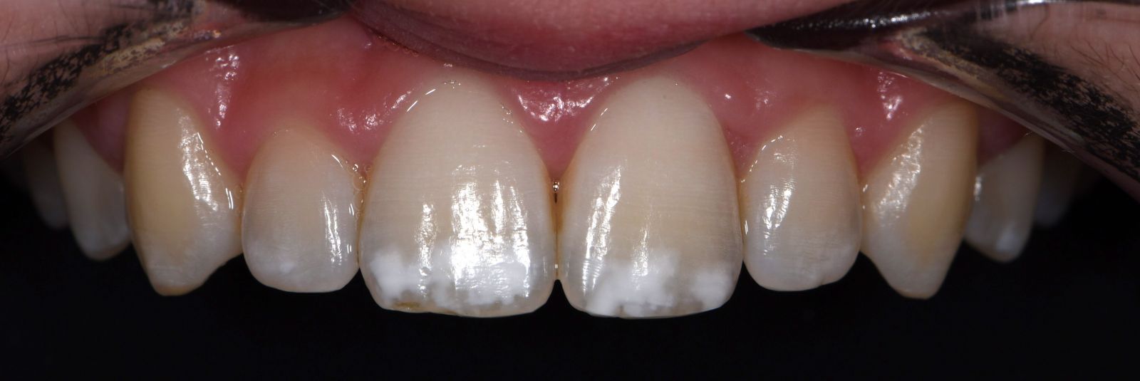
CASUS 2
Een jonge man stoorde zich aan de witte vlekjes op met name zijn voortanden.
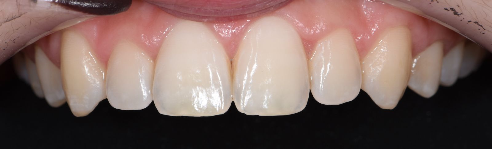
Wij hebben dit kunnen behandelen zonder te hoeven boren! Super non-invasief dus en zo werken wij het liefst.
We hebben gebruik gemaakt van een zuur (ICON etch) , zodat het daarna mogelijk was een vloeistof in de tand te laten infiltreren en de vlekken zijn verdwenen.
Een geduldig werkje, maar meer dan de moeite waard, gezien het mooie en natuurlijke resultaat.
voor
na



website maken